France

Greenpeace : des dons à tout prix ?

France

Greenpeace fait appel à des prestataires pour démarcher, par téléphone, de futurs adhérents et leur demander des dons. Une ex-salariée d’un centre d’appels dénonce des conditions de travail difficiles et des méthodes invasives pour convaincre les gens. Greenpeace promet de réunir prochainement ses prestataires pour faire le point.

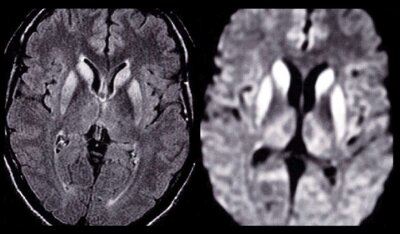
Le ministère de la recherche suspend tous ses travaux sur les prions à la suite d’un nouveau cas de maladie de Creutzfeldt-Jakob

Santé

À la suite de la découverte de la maladie de Creutzfeldt-Jakob chez une ancienne laborantine de l’Inrae, potentiellement contaminée en manipulant des prions, tous les travaux d’expérimentation sur ces protéines à l’origine de la « vache folle » sont suspendus. Décidée le 27 juillet par le ministère de la recherche, cette suspension concerne l’ensemble des laboratoires français pour une période de trois mois. 

Un salarié de Darty : « J’ai alerté Alexandre Bompard sur le blanchiment dès 2017 »

France — Enquête

En 2016, Haziz Faddel observe des transactions douteuses dans l’un des magasins Darty parisiens. Le 19 avril 2017, il alerte le PDG de l’époque, qui ne réagit pas. Le système de blanchiment sur lequel la justice enquête aujourd’hui a perduré. Il se dit « soulagé que la justice puisse enfin faire toute la lumière sur des agissements [qu’il] n’a cessé de dénoncer ». Témoignage en vidéo.

Le groupe Fnac-Darty visé par une enquête pour « blanchiment » et « association de malfaiteurs »

France — Enquête

Mediapart révèle les dessous d’un système par lequel sont passés, en toute illégalité, au moins un million et demi d’euros depuis 2014. Une information judiciaire pour de possibles faits de « blanchiment commis en bande organisée » et « association de malfaiteurs » vise le leader français de la distribution. Cinq perquisitions ont eu lieu le 3 juin.  

Larzac : les ressorts d’une lutte qui dura dix ans

Agriculture et alimentation — Reportage

1971-2021. Il y a cinquante ans, des paysans du Larzac s’opposent à l’extension d'un camp militaire et des antimilitaristes arrivent de toute la France pour leur prêter main forte. Une lutte commence. Elle durera dix ans.

En Vendée, les urgences connaissent une pénurie « inédite » de médecins

Santé — Reportage

Cet été en Vendée, dans cinq des six hôpitaux du département, près d’un quart des postes d’urgentiste sont non occupés. Ce territoire de 675 000 habitants manque cruellement de médecins et d’intérimaires. Dans la petite ville de Luçon, citoyens et élus se mobilisent.

« Pegasus » : malgré l’espionnage, la France reste bien timide

Élysée et gouvernement — Analyse

Les révélations du vaste scandale d’espionnage permis par le logiciel « Pegasus » n’ont pas suscité de vive réaction d’Emmanuel Macron et son gouvernement. Eux-mêmes ainsi qu’un millier de Français·e·s sont pourtant concerné·e·s.

Le meilleur d’« À l’air libre » : sous Macron, l’université prise pour cible

À l’air libre — Vidéo

Quand les ministres Blanquer et Vidal pointent l’islamo-gauchisme du doigt, « À l’air libre » montre la lune d’une université attaquée par la droite extrême.

Passe sanitaire : la loi est adoptée, à peine assouplie

Santé

Le projet de loi de « gestion de la crise sanitaire » a été voté lundi à 0 h 40, amendé à la marge. Parmi les modifications imposées par les sénateurs : les salariés des établissements sous passe sanitaire verront leur salaire suspendu, mais ne seront pas licenciés.

À Force ouvrière à Brest, « parler de violences sexuelles, c’est s’exposer »

Violences sexistes et sexuelles — Enquête

À l’Union départementale de Force ouvrière à Brest, les salariées ayant dénoncé des violences sexuelles de la part de leur ancien secrétaire général s’estiment victimes de représailles. Toutes les femmes qui ont parlé, et leurs soutiens, se retrouveront sans emploi cet été.

Paroles de non-vaccinés : « Je ne suis plus les infos, ni la télé »

France

Portraits de Français non vaccinés. À la rencontre de leurs hésitations et de leurs doutes, de leurs choix militants ou juste de leur opposition à une politique jugée liberticide.

Manifestations contre le passe sanitaire : « Macron a franchi une ligne rouge »

France — Reportage

À Paris, alors que le Sénat examinait le projet de loi, des « gilets jaunes » et le mouvement Les Patriotes de Florian Philippot appelaient, respectivement place de la Bastille et au Trocadéro, à se mobiliser ce samedi 24 juillet contre le passe sanitaire.

Jusqu’à 10 000 euros d’amendes cumulées durant les couvre-feux : des jeunes de quartiers dénoncent un harcèlement

France

Des familles entières se retrouvent endettées à cause de salves de contraventions liées aux mesures sanitaires. Des associations dénoncent un « phénomène d’ampleur grandissante » et « une application disproportionnée et discriminatoire des mesures ».

Affaire du port de Golfe-Juan : le faux pas d’un avocat d’Anticor

Transparence et probité — Enquête

L’association Anticor, partie civile dans une instruction judiciaire en cours au Parquet national financier concernant le port de Vallauris-Golfe-Juan, sur la Côte d’Azur, a dessaisi son avocat niçois chargé du dossier, afin d’éviter un conflit d’intérêts.

À l’université, encore une rentrée sous conditions

Éducation et enseignement supérieur

La ministre de l’enseignement supérieur promet une rentrée « 100 % en présentiel », sans passe sanitaire mais avec beaucoup d’inconnues. « Il n’y a jamais aucune anticipation », dénonce le syndicat majoritaire.

La loi « séparatisme » définitivement adoptée 

France

Les députés ont approuvé le texte par 49 voix « pour », 19 « contre » et cinq abstentions. Gauche et droite ont annoncé la saisine du Conseil constitutionnel.